股市新闻在哪看比较好-今日股票买哪个-【东方资本】,股票融资开户有什么条件,1万炒股一年最多挣多少真实案例,股票配资加盟费多少合适呢

新聞中心

    細胞計數儀怎么選?一文助您徹底擺脫選擇困難癥。

    最近有不少小伙伴咨詢,你們這個SmartCell 600、800和900有什么區別?還有更直接的,那臺紫色怪好看的,跟阿藍和小綠有什么區別?看似外觀形狀相同,儀器顏色和軟件界面卻有很大差別,當然啦,他們檢測的細胞類型又有差異,在各自應用領域發光發熱!

    圖片

    那么如何根據自己的需求來選一款稱心如意的細胞計數儀呢?


    1、測試細胞類型


    在選擇儀器之前,我們首先要思考兩個問題:


    1、自己的細胞房培養哪些細胞?


    一般實驗室細胞房培養的大多為常規傳代培養的細胞系,比如腫瘤細胞、動物哺乳細胞、昆蟲細胞等,這類細胞直徑范圍在5-40μm。


    還有一些可能是從組織或血液分離的原代細胞,比如脾細胞、PBMC細胞、臍帶血或骨髓源的原代間充質干細胞等;這類細胞組分復雜,可能有組織碎片、血小板、紅細胞等雜質干擾 。


    最后呢,還有一些老師在某些細分領域計數需求,比如酵母細胞、球藻細胞、芽孢桿菌等微生物小粒徑細胞(1-10μm),甚至低于1μm 的大腸桿菌 。

    圖片


    CHO細胞

    (10-20μm)

    圖片


    T細胞

    (6-10μm)

    圖片


     酵母細胞

    (2-6μm)

    我們根據培養細胞類型的直徑大小,第一步要確認合適的物鏡放大倍數,就跟在顯微鏡下有4X、10X、40X和100X不同放大倍數一樣,需要選擇一個正確的物鏡來滿足成像清晰和識別。正常的細胞系和原代細胞計數儀采用5X物鏡光學放大就可滿足,針對酵母和球藻以及一些粒徑更小的微生物樣本,需要用到10X甚至20X物鏡才能夠看的清晰。

    圖片

    5倍放大

    酵母細胞

    10倍放大

    酵母細胞

    圖片

    2、細胞分析是關注細胞活率還只是細胞濃度?

    細胞計數儀分為明場款(激發光為白光)和熒光款(不同顏色的激發光),其中明場包括非臺盼藍染色和臺盼藍染色,如果您平時只關注細胞濃度,這時選一款明場計數儀即可滿足需求。那如果細胞濃度和細胞活率都關注,我們就需要考慮用經典臺盼藍染色還是AO(吖啶橙)/PI(碘化丙啶)雙熒光染色分析。

    臺盼藍和熒光染色比較


    _

    臺盼藍染色

    AO/PI熒光染色

    原理

    細胞膜的通透性

    (非特異性染色)

    核酸染色

    (特異性染色)

    識別區分

    活細胞:不染色

    死細胞:藍色

    活細胞:綠熒光

    死細胞:紅熒光

    適用范圍

    常規傳代培養細胞

    細胞系、原代細胞、免疫細胞等

    臺盼藍染色

    圖片
    圖片

    AO/PI雙熒光染色

    當然,除了臺盼藍和AO/PI雙熒光染色之外,還可以通過AO/DAPI染色,DAPI染色可以標記所有細胞核,可能在特定條件下染色死細胞。PI相比DAPI染死細胞則更為專一,用于標記失去膜完整性的死細胞。針對細菌的活率分析,還可以通過SYTO-9/PI染色,SYTO-9是一種能夠透過細胞膜的綠色熒光核酸染料,可用于細菌的RNA和DNA染色。


    2、測試數據的可靠性


    在完成第一步選擇后,接下來需要選擇一個檢測數據可靠的計數儀,無論它功能多么強大,數據可靠性是關鍵的,它主要體現在測試數據的準確性和穩定性。


    其中準確性是測試值與真實值之間的差異,我們一方面可以通過與人工血球計數對比,相同的一管細胞樣本,通常要求計數儀與人工之間的計數誤差在10%以內;另一方面可以用標準品(不同濃度、直徑和活率的標準品)進行驗證;要求更高的用戶會請第三方計量公司進行再次計量驗證,最后結合自己的細胞進行方法學驗證,通過以上多重驗證,最后確定儀器的準確性 。


    其次,穩定性通常我們可以對同一個樣品進行幾組平行測試,或者對同一個高濃度樣品做梯度稀釋分析線性關系,這里面有一個重要的參數CV值(變異系數),一個可靠的計數儀,在合適的濃度范圍內,通常CV值<5%。

    圖片


    決定一個計數儀數據可靠性,主要有以下兩個方面:


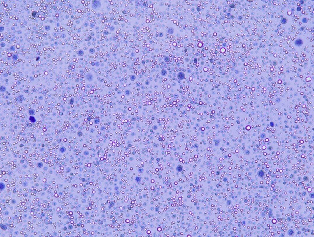
    硬件 包括光路系統、成像系統,其中成像的像素決定圖片的清晰度,從而影響到識別結果;配置越高,成像越清晰;其次是自動化過程,這里面包括進樣、對焦、曝光等參數,全自動過程能減少人為操作帶來的誤差,從而提高檢測數據的穩定性,

    圖片

    低像素,成像模糊

    圖片

    高像素,成像清晰

    軟件算法   在獲得一張高質量圖片之后,要對其進行算法識別分析,目前主要基于兩種算法,一種是基于灰度值(普通算法),另外一種是基于深度學習人工智能算法(AI算法),這種先進算法相對于普通算法,能夠對聚團細胞精準分割,對不規則細胞精準識別,對含有細胞碎片、雜質等復雜樣本精確計數,這種算法能夠實現不同領域、不用應用場景的計數分析。萌薇生物也是國內早期將AI技術應用在細胞計數領域并進行儀器開發的廠家。


    3、檢測效率


    傳統的血球計數法能夠不斷被智能細胞計數儀替代,其中檢測效率是一個非常大的因素,如果您每天檢測的細胞樣本量多,檢測效率相當關鍵,一個優秀的計數儀,不僅準和穩,快也很重要。檢測效率主要包括以下兩點:


    單個樣品檢測時間:通常檢測一個樣品,人工計數時間在3-5分鐘,計數儀在10秒到2分鐘時間不等,產生差異的原因主要是儀器的自動化程度,尤其是手動進樣和手動調焦會直接影響到計數的效率,其次是算法分析的時間也有差異,例如先進的AI算法將直接縮短處理圖片的時間,這也是為什么萌薇計數儀實現測試分析速度快的重要原因。

    圖片

    計數板通量:一塊血球計數板有兩個加樣孔槽,市面上絕大數計數儀也是采用兩個通量,當我們樣本量比較多時,就需要更高通量的計數板,一次性可以同時測多少樣品,這也是決定效率的一個因素。萌薇計數板采用6樣品孔設計,不僅在提高效率的同時,還一定程度降低了測試成本。

    圖片


    4、其他因素


    除了以上三點以外,還有一些其他因素也得考慮:

    機型--分體機還是一體機,主要根據細胞房空間大小來選擇,分體機需要連接電腦,一體機則包含顯示屏,可直接操作,相對分體機價格要高一些,但使用起來簡單方便。


    圖片
    圖片
    圖片
    圖片

    軟件分析功能--一臺優秀的計數儀在完成基本的參數(細胞濃度、活率、直徑、圓度、聚團率)分析功能之后,還要具備對測試數據的整理和分析,包括直徑分布圖、測試數據再分析、數據對比分析(CV值計算)、增殖曲線等分析功能;滿足JPG、EXCEL、PDF等多種格式的數據輸出方式,不僅能通過U盤輸出還可以通過服務器輸出;數據的備份和恢復也是必要的,保障用戶的數據萬無一失;除此之外,稀釋計算器和傳代計算器會讓您的實驗變得更加簡單。


    性價比--硬件配置高,軟件分析功能強大,技術參數優秀的計數儀往往相比于低配置的參數價格高一些,但不能一味追求低價,讓數據準確性和精確性沒了保障,甚至反而影響我們的實驗進度,最后可能面臨重新選擇。所有小薇經常在一些用戶細胞房會發現在吃灰的低端計數儀,面對這些價格低的儀器選擇要慎重!


    服務--這里包括售前售后服務、試用培訓、技術支持,3Q驗證服務,以及儀器的質保期。萌薇計數儀年質保,買的放心,用的安心,并在全國主要中心城市有專業的技術支持,隨時響應。


    聽了以上的分析,我想大家對選擇一款合適的計數儀有一定的心得,不管你是想選擇一體機還是分體機,明場還是熒光,樣品是常規培養的細胞還是粒徑小的微生物樣本,又或者想選一個高性價比且服務有保障的機器,那么這邊有幾款產品想介紹給大家,總有一款能滿足您的需求。 

    圖片

    計數儀產品介紹

    圖片
    圖片


      SmartCell 200 Plus


     明場分體機(連電腦)

     非臺盼藍細胞計數

     臺盼藍染色活率分析

     人工智能算法

     630萬像素高清成像

     6樣品孔通量

     8秒檢測分析

    圖片

    明場一體機

    非臺盼藍細胞計數

    臺盼藍染色活率分析

    人工智能算法

    630萬像素高清成像

    6樣品孔通量

    8秒檢測分析

    圖片

            SmartCell 600

    圖片
    圖片

           SmartCell 800

    明場+雙熒光一體機

    AO/PI熒光分析

    非臺盼藍細胞計數

    臺盼藍活率分析

    GFP/RFP轉染分析

    人工智能算法

    630萬像素高清成像

    6樣品孔通量

    圖片


    圖片

           SmartCell 880

    明場+四熒光一體機

    AO/PI/DAPI/CY5熒光分析

    非臺盼藍細胞計數

    臺盼藍活率分析

    GFP/RFP轉染分析

    人工智能算法

    630萬像素高清成像

    6樣品孔通量

    圖片


    明場一體機

    酵母、小球藻、菌種計數

    寄生蟲卵囊計數

    血小板、免疫細胞計數

    臺盼藍染色活率分析

    人工智能算法

    630萬像素高清成像

    6樣品孔通量

    20倍光學放大

    圖片

       SmartCell 900 BF    

    圖片
    圖片

          SmartCell 900 FL

    明場+雙熒光一體機

    酵母、小球藻、菌種計數

    血小板、免疫細胞計數

    雙熒光活率分析

    人工智能算法

    630萬像素高清成像

    6樣品孔通量

    20倍光學放大

    圖片


    明場+雙熒光一體機

    AO/PI熒光分析

    臺盼藍染色分析

    非臺盼藍細胞計數

    GFP/RFP轉染分析

    人工智能算法

    1200萬像素高清成像

    6樣品孔通量


    圖片

        Find C     

    圖片

    總結

    當大家想擁有一臺合適的計數儀時,首先從自身測試的細胞樣本出發,選擇相對應原理的儀器,再參考其核心技術參數,尤其是成像系統和算法,同時還要考慮儀器檢測數據的可靠性和檢測效率,當然,服務質量和質保也不能忽視。


    萌薇細胞計數儀不僅能夠滿足多領域、多應用場景的計數分析,可以對細胞濃度、活率等細胞參數進行準確檢測;為客戶提供符合FDA21 CFR Part 11要求的安全用戶登錄系統、多級用戶管理權限及審計追蹤,還可以為客戶提供3Q驗證服務和方法學驗證,同時軟件可通過CSV認證(計算機化系統認證),支持數據的備份與恢復;儀器具備CE認證(安全合格標志)和VHP(汽化過氧化氫)滅菌。這些都將為您的細胞檢測方法建立放心、可靠的計數標準。


    上一篇:基于線蟲模型的高通量研究:EVOS細胞成像聯合Celleste數據分析軟件    下一篇:國自然熱點 | Tissue Cytometry助力巨噬細胞研究

    微信公眾號